
Киани Али
Медицинского института усовершенствования врачей ФГБОУ ВПО «МГУПП». Член Всемирной Ассоциации лазерной терапии (WALT)
-60%
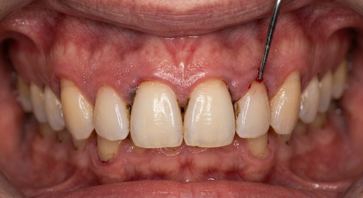
Индекс воспаления пародонта — после 3 процедур ФДТ
0
Бактериальной резистентности — ФДТ работает без антибиотиков
630 нм
Длина волны — оптимальная активация фикоцианина в тканях рта
Шесть клинически подтверждённых эффектов, которые делают CHLODERM конкурентным преимуществом вашей клиники.
Нет боли, нет ожогов, нет downtime. Пациент уходит сразу после процедуры — упрощает запись, повышает возвращаемость и снижает процент отмен.
Конкурентное преимуществоВидимое улучшение текстуры и тона уже после первой процедуры. ФДТ запускает микроциркуляцию и восстанавливает барьерные функции.
Ранний результат−60 % снижение воспалений при акне (наблюдение n = 120). Избирательное уничтожение патогенов — без повреждения здоровой ткани.
Медицинские показания+35 % прирост плотности кожи (денситометрия). Стимуляция коллагена и эластина, уменьшение морщин — без инъекций и травматизации.
Антивозрастной протоколВстраивается в действующий протокол: RF-лифтинг, лазерная шлифовка, биоревитализация. Усиливает и пролонгирует их результат без замены оборудования.
Синергия протоколовСнижение фотостарения, повышение защитного ответа на УФ и экологические факторы. Курс из 4–6 процедур даёт стойкий клинический эффект.
Долгосрочный уходФДТ основана на принципе избирательности: фотосенсибилизатор накапливается в повреждённых клетках, не затрагивая здоровую ткань.
Гель на основе фикоцианина наносится на проблемную зону и накапливается в повреждённых клетках
Научный подход к омоложению
При активации светом запускается фотохимическая реакция: она не только уничтожает патогены, но и пробуждает спящие ресурсы регенерации.
От разработки формул в собственной лаборатории до выпуска готовой продукции — мы контролируем каждый миллиграмм и каждую секунду технологического процесса.
Открытая экосистема, натуральное происхождение, — преимущества, которые работают на ваш протокол.
Другие фотосенсибилизаторы
Преимущества CHLODERM
Другие фотосенсибилизаторы
Преимущества CHLODERM
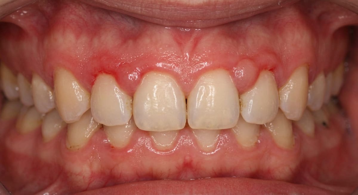
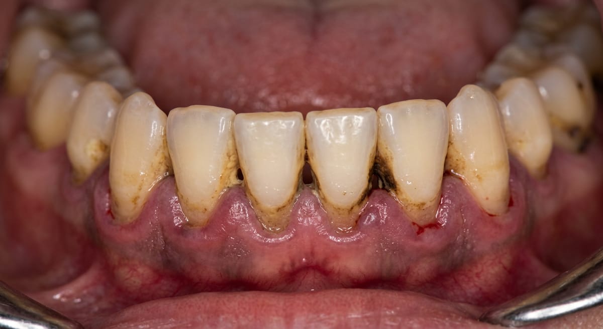
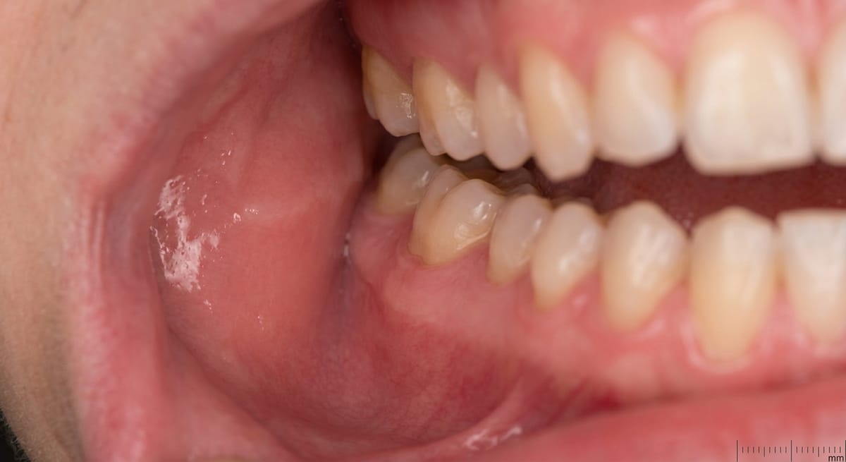
CHLODERMВидимый результат, зафиксированный врачами клиник-партнёров по всей России.
До
После
До
После
До
После
До
ПослеРезультаты подтверждены клиническими исследованиями
Пока конкуренты привязывают вас к своему парку, CHLODERM встраивается в любой протокол без замены оборудования.
Параметры активации по типу устройства
LED-панели
Домашний + клинический
LED-маски
Автономный формат, клиника и дом
IPL-системы
Широкий диапазон показаний
LLLT-лазеры
Максимальная глубина проникновения
Аппараты ФДТ
Специализированный протокол
CHLODERM Открытая система
Ваш парк уже достаточен.
В отличие от конкурентов, привязывающих вас к своему парку, — мы не строим экосистему «продай аппарат». CHLODERM встраивается в любой действующий протокол.
Проверить совместимостьПрофессиональное сообщество выбирает доказательный подход и инновации CHLODERM.
Масштаб доверия по всей России
Широкая география присутствия
Лидерство в своём сегменте
CHLODERM работает с любым стоматологическим LED-оборудованием без дополнительных вложений
Смотреть каталогВедущие специалисты в области фотодинамической терапии, онкологии и эстетической медицины.

Медицинского института усовершенствования врачей ФГБОУ ВПО «МГУПП». Член Всемирной Ассоциации лазерной терапии (WALT)

Член Правления Ассоциации. Секция эстетической медицины УР. Врач-косметолог с многолетним опытом

Старший научный сотрудник научного отделения торакальной онкологии НМИЦ онкологии им. Н.Н. Петрова, профессор кафедры онкологии СЗГМУ им. И.И. Мечникова

Руководитель МЦКК, врач-дерматокосметолог, президент Ассоциации специалистов эстетической медицины

Доцент кафедры эстетической медицины РУДН, главный косметолог МЗ Удмуртии, научный руководитель ЦКНТ «Век Адалин»

Специалист в молекулярной биологии и биотехнологии, зам. директора НМИЦ АГиП им. Кулакова. Автор 200+ научных трудов

Пионер фотодинамической терапии (ФДТ) в России, хирург-онколог с 45-летним стажем. Автор 170+ научных работ

Директор НИИ онкологии Томского НИМЦ РАН, онколог. Специалист по опухолям головы и шеи. Лауреат Госпремии РФ
Все эксперты являются действующими профильными специалистами и практикующими врачами
Врачи-косметологи, владельцы клиник и пациенты делятся реальным опытом применения технологии CHLODERM.
За 6 месяцев работы с CHLODERM выручка по ФДТ-направлению выросла на 40%. Пациенты возвращаются на повторные курсы — это редкость в эстетике.
Раньше мы были привязаны к одному поставщику и его аппарату. CHLODERM — открытая система: подключили к нашему LED за час, без дополнительных вложений.
Когда импортные аналоги стали недоступны, мы потеряли 3 месяца на поиск замены. С CHLODERM вернули направление ФДТ и нарастили клиентскую базу на 20%.
За 6 месяцев работы с CHLODERM выручка по ФДТ-направлению выросла на 40%. Пациенты возвращаются на повторные курсы — это редкость в эстетике.
Раньше мы были привязаны к одному поставщику и его аппарату. CHLODERM — открытая система: подключили к нашему LED за час, без дополнительных вложений.
Когда импортные аналоги стали недоступны, мы потеряли 3 месяца на поиск замены. С CHLODERM вернули направление ФДТ и нарастили клиентскую базу на 20%.
После 3 процедур пигментные пятна посветлели на два тона. Косметолог сказала, что с другими препаратами это заняло бы 6–8 сеансов.
Использую CHLODERM в протоколах реабилитации после лазерной шлифовки. Эритема уходит на 2–3 дня быстрее, чем при стандартной схеме. Пациенты это ценят.
Фикоцианин — единственный натуральный фотосенсибилизатор с доказанной биодоступностью при низких дозах. Мы включили CHLODERM в учебные программы кафедры.
После 3 процедур пигментные пятна посветлели на два тона. Косметолог сказала, что с другими препаратами это заняло бы 6–8 сеансов.
Использую CHLODERM в протоколах реабилитации после лазерной шлифовки. Эритема уходит на 2–3 дня быстрее, чем при стандартной схеме. Пациенты это ценят.
Фикоцианин — единственный натуральный фотосенсибилизатор с доказанной биодоступностью при низких дозах. Мы включили CHLODERM в учебные программы кафедры.
Внедрили ФДТ с CHLODERM за неделю: обучение — 1 день, первые 5 пациентов — в ту же неделю. Окупаемость оборудования — за 2 месяца.
Не ожидал такого уровня поддержки от производителя: персональный менеджер, готовые протоколы, маркетинговые материалы. Это не просто поставщик — это партнёр.
Перешли с хлорина E6 на фикоцианин CHLODERM — нет фототоксичности, не нужна изоляция от света после процедуры. Для пациентов это принципиально.
Внедрили ФДТ с CHLODERM за неделю: обучение — 1 день, первые 5 пациентов — в ту же неделю. Окупаемость оборудования — за 2 месяца.
Не ожидал такого уровня поддержки от производителя: персональный менеджер, готовые протоколы, маркетинговые материалы. Это не просто поставщик — это партнёр.
Перешли с хлорина E6 на фикоцианин CHLODERM — нет фототоксичности, не нужна изоляция от света после процедуры. Для пациентов это принципиально.
Мы собрали ответы на самые популярные вопросы о продукции и технологиях CHLODERM.
Наши медицинские консультанты ответят на все вопросы в Telegram.
Написать намСтоматологические протоколы
Клинические схемы при пародонтите, гингивите, стоматите, периимплантите. Полная замена антибактериальной обработки. Составлены практикующими стоматологами.
Тест-сет для стоматолога
Образцы гелей CHLODERM для полости рта и возможность провести демо-процедуру в вашей клинике. Убедитесь в эффективности до первого заказа.
Поддержка от эксперта
Персональный менеджер, методические консультации по стоматологическим протоколам и сертификационное обучение.